O Toxoplasma gondii, parasita responsável pela toxoplasmose, infecta um terço da população mundial e tem a capacidade singular de permanecer no corpo humano por toda a vida. A contaminação ocorre, em geral, pelo consumo de carne malcozida ou pelo contato com solo e fezes de gatos infectados. Na maioria dos casos, o sistema imunológico controla a fase inicial da infecção sem que surjam sintomas evidentes.
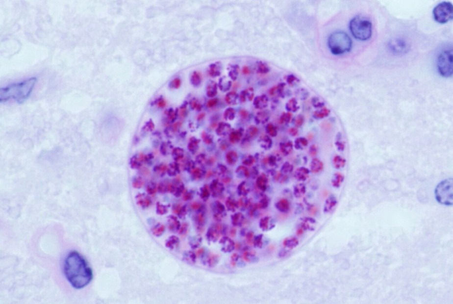
Ainda assim, o parasita não é eliminado: ele se instala em cistos microscópicos, principalmente no cérebro e nos músculos, onde permanece fora do alcance dos tratamentos disponíveis. Por décadas, esses cistos foram entendidos como estruturas biologicamente inativas, formadas por parasitas dormentes – uma interpretação que orientou boa parte das estratégias terapêuticas desenvolvidas até hoje.
No entanto, um novo estudo conduzido por pesquisadores da Universidade da Califórnia, nos Estados Unidos, sugere que essa base conceitual pode estar incorreta. Detalhes da descoberta foram compartilhados em um artigo científico publicado no dia 24 de janeiro na revista Nature Communications.
Cisto como um sistema ativo e organizado
Ao analisar parasitas retirados diretamente de cistos formados em tecidos vivos, os pesquisadores identificaram um nível de organização interna até então desconhecido. Com o uso de sequenciamento de RNA em célula única, a equipe observou que cada cisto abriga múltiplos subtipos de bradizoítos, todos pertencentes à fase crônica da infecção, mas com funções biológicas distintas.
Esses subtipos não coexistem de forma aleatória. Os dados indicam uma divisão funcional clara, com alguns parasitas voltados à manutenção de longo prazo dentro do hospedeiro, outros à transmissão entre hospedeiros e aqueles preparados para se reativar caso as condições imunológicas se alterem. Dessa forma, o cisto deixa de ser entendido como um simples refúgio passivo e passa a ser interpretado como uma estrutura dinâmica, capaz de responder a pressões do ambiente interno.









